No existe un criterio consensuado para considerar que dos vértebras se han fusionado. La apreciación directa y unívoca del «puente óseo» suele tardar en aparecer más de un año. Algunos autores consideran que la ausencia de movimiento entre las dos vértebras en las Rx dinámicas (o funcionales) es suficiente para determinar que se ha producido la fusión. En base a esta hipótesis, se miden ángulos entre platillos o distancia entre espinosas forzando la flexión y la extensión cervical.
Un trabajo de Masahito Oshina y colaboradores (Radiological fusion criteria of postoperative anterior cervical discectomy and fusion: a sistematice review), compara las distintos criterios de establecer la fusión en trabajos publicados para concluir como el más fiable la diferencia de <1mm entre la distancia de las respectivas apófisis espinosas en flexo/extensión.
El trasunto de esta interesante revisión indica que en todos los criterios de evaluación de la fusión no existe una «precisión matemática», pues en todos ellos se mezcla una proporción variable de subjetividad en la interpretación de las pruebas) por lo que los resultados y conclusiones poseen un importante sesgo.
Ésta, por desgracia, no es una circunstancia extraña en la literatura científica.
Pero, obviando este obstáculo, resurge otro escollo que salvar en la artrodesis cervical: ¿qué hacemos como cirujanos cuando no se ha conseguido la fusión transcurrido un plazo de demora prudente (6 meses?, 1 año?)?
La respuesta no es sencilla. En la literatura científica sólo existe una palabra para definir la ausencia de fusión: «pseudoartrosis». Podríamos considerar «retraso de la fusión» como un concepto efímero: pues su propia definición apremia a resolver la incógnita en un periodo de tiempo preciso (1 año ?; 2 años?).
Durante mi ejercicio como cirujano de columna he tenido pacientes que cumplen criterios de no fusión (véase el artículo de Masahito Oshina) durante un periodo superior a dos años, sin repercusión clínica significativa. Esto me ha llevado a buscar «nuevos conceptos» para los apuntes evolutivos de dichos casos.
La primera confusión que salvé (supongo) fue diferenciar la artrodesis cervical de otros tipos de artrodesis, por ejemplo un hueso largo fracturado, (de donde se han asumido los conceptos antagónicos de fusión y pseudoartrosis). La experiencia clínica demuestra que las exigencias biomecánicas son distintas. Si un fémur fracturado no fusiona, probablemente irá mal y requerirá de una nueva cirugía sin embargo, en la patología degenerativa cervical ha quedado ampliamente demostrado que la ausencia de fusión no se acompaña necesariamente de un mal resultado clínico. Recuerdo casos vistos en consulta a los que se les había realizado discectomía sin fusión y, aparte de la pérdida de lordosis, presentaban un resultado clínico favorable… ¡después de >10 años!. Las artroplastias totales de disco cervical, las prótesis móviles de disco, también son un ejemplo de ausencia de fusión con buen resultado clínico publicado.
Es evidente que en la artrodesis cervical en patología degenerativa intervienen otros elementos estabilizadores, como la integridad del arco posterior o el complejo discoligamentoso lateral residual a la discectomía.
Por estas razones, no hay que considerar ausencia de fusión como justificación para realizar pruebas agresivas (el TAC cervical lo es, por la radiación que produce) y/o cirugía de rescate de manera inexorable si no se acompaña de un contexto clínico congruente.
Entonces, ¿cómo debemos proceder en los casos en los que existe un rango de movilidad postoperatorio mayor del «aceptado»?
En mi experiencia, si las prótesis no producen osteolisis ni deformidad del perfil sagital, la «ausencia de fusión» no suele presentar manifestación clínica relevante. Las ATDC o «prótesis móviles que sustituyen el disco cervical permiten el movimiento de los segmentos intervenidos con mejoría clínica del dolor, según la literatura. El problema, tanto en las cajas que no fusionan (tipo cage stand alone, CSA) como en las ATDC, es el impacto que puede generar sobre el hueso adyacente en el tiempo. Poseo una amplia experiencia con la «fusión» con CSA (tanto con cajas de peek o de metal). Gran parte de casos fusionaron tarde (>1 año) o no llegaron a fusionar durante el seguimiento evolutivo, sin presentar clínica. Casi todas acabaron «cavándose su hueco» entre ambos platillos (subsidence), apreciando de manera indirecta en las RX una pérdida de altura y de lordosis. Esta fue una de las razones para que abandonase prácticamente su uso y emplease cajas atornilladas (las cajas con placas plantean otro tipo de problemas, sobre todo en patología multinivel, véase complicaciones asociadas a las placas cervicales largas).
Es por ello que empecé a elaborar un protocolo personal para el manejo de estos pacientes desde un punto de vista clínico. Así, clasifico a las artrodesis cervicales en el postoperatorio como:
- «fusionadas«; cuando visualizo claramente un puente óseo alrededor de la caja (con más frecuencia) y/o a través de su interior. A estos pacientes se les puede dar de alta (si no existen otros motivos para vigilarlos).
- «fijación intersomática» cuando en las RX funcionales no se aprecia movimiento sin ver «puentes óseos». Puede valer para este apartado el criterio de hallar una diferencia de <1mm entre la distancia de las respectivas apófisis espinosas en flexo/extensión o, si las espinosas no se visualizan o no están presentes, una angulación de platillos <3º también en las RX dinámicas. A estos pacientes les realizo un seguimiento anual con Rx (hasta visualizar puentes óseos o durante 3 años).
- «estabilización intersomática«sería cuando no existen signos radiológicos de fusión ni de fijación, pero no existe migración de la prótesis ni afectación de balance sagital significativa y, por lo tanto, no existe un correlato clínico congruente (en este nivel entrarían las ATDC, por definición).
- «pseudoartrosis» cuando se constata fracaso de fusión radiológico, con signos de edema en cuerpos vertebrales, clínica asociada y cambios en balance sagital/osteolisis. En este caso considero que está indicado realizar un TAC cervical con reconstrucción para valoración quirúrgica.

fusión intersomática a través de la caja atornillada

fusión intersomática sobre todo en la parte posterior de la caja (lo más frecuente)

Mismo paciente de la imagen anterior; ahora en flexión. Obsérvese que, pese a estar fusionado es difícil obtener la misma medida al medir la distancia interespinosa
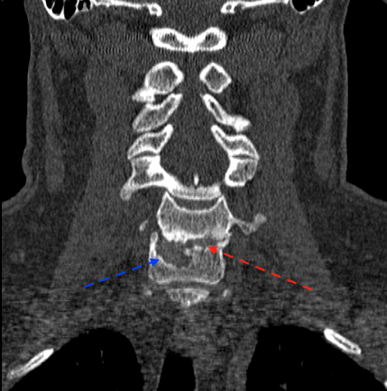
A continuación, presento imágenes de un caso con pseudoartrosis C6-C7 intervenido en otro centro en 1995, sin informes quirúrgicos del material de implantación. La flecha azul señala la ubicación lateral derecha de la(s) caja(s) con extrusión anterior parcial del material. La flecha roja delimita la altura preoperatoria del disco; parece que existe cierta integridad de platillos en la hemivértebra izquierda.
El paciente presentaba una clínica de dolor de características mecánicas y ubicación similar a preoperatorio. La braquialgia izquierda no se había resuelto tras la cirugía. Se planificó la cirugía para retirar la(s) caja(s), descomprimir y fusionar por vía anterior. La fusión dependería de la integridad y volumen residual de los platillos para realizar una intersomática o corpectomías + reconstrucción.

2 meses postor 
RM cervical 6 meses
Obsérvese en la RX AP cervical que, tanto la caja intersomática como la placa, tuvieron que desplazarse ligeramente a la izquierda, donde había integridad de platillos. Dada la existencia de pseudoartrosis y destrucción de platillos, consideré oportuno reforzar la caja atornillada con una placa cervical.
Las RX dinámicas demuestran fijación intersomática sin puentes óseos todavía. Obsérvese la recuperación del espacio intersomático respecto al preoperatorio, (indicativo de estabilidad de la artrodesis). El paciente, a los 6 meses de la cirugía, refiere crisis frecuentes de cervicalgias mecánicas altas bien controladas con analgesia de primer nivel y reposo relativo (ha dejado mórficos) y resolución de la braquialgia izquierda.












Buenos días.
Habla usted aquí de «cajas que no fusionan» ¿A qué se refiere exactamente? Yo llevo una caja peek y en la radiografía solo se ven como unos palitos verticales muy finos. ¿Significa eso que no llevo tornillos? Gracias
Hola Nieves
Planteas muchas cuestiones, y algunas de ellas requieren el conocimiento de conceptos bastante técnicos, por lo que no sé si sabré explicarme…
La mayoría de las cirugías cervicales las realizamos para descomprimir el canal medular o aliviar la compresión radicular. Al realizar esta descompresión, retiramos tejidos (discos intervertebrales) que cumplen (o cumplían) una función estructural (sopote) y mecánica (permitiendo cierto grado de movilidad entre dos vértebras), por lo que debemos colocar «prótesis» o hueso procedente de la cresta iliaca para sustituir a este disco.
Salvo las artroplastias de disco cervical («articulaciones artificiales» que intentan preservar esa movilidad) las «prótesis» que colocamos en el espacio intersomático cumplen dos objetivos: mantener la altura y soporte del espacio intersomático y lograr que las vértebras adyacentes fusionen o se «peguen». Las cajas intersomáticas pueden ser de diversos materiales: las más frecuentes son de titanio, peek y tantalio. Algunas de ellas llevan tornillos integrados en su estructura. Los «palitos» que ves en la radiografía son marcadores de profundidad (y de altura) que los fabricantes incorporan a las cajas de peek para que sean visibles en la radiografía (por lo que comentas, no parece que la caja que te implantaron lleve tornillos).
Las cajas atornilladas (Cajas intersomáticas cervicales atornilladas) mejoran el amarre primario, aumentan la posibilidad de fusión y mantienen la altura del espacio mucho mejor que las cajas «sin tornillos integrados». Las cajas de peek pueden usarse solas (cage stand alone) en uno o dos niveles con intención de «fusión», aunque a menudo llevan una «placa cervical» asociada (Apuntes y complicaciones asociadas a placas cervicales «largas» (3 o 4 niveles)).
La fusión se pretende para evitar la degeneración de otras articulaciones que no tratamos (facetas posteriores), mitigar los efectos mecánicos en el espacio tratado (colapso espacio intervertebral) y aliviar el dolor que produciría la inestabilidad generada al retirar tejidos estructurales. La fusión es evidente cuando vemos «puentes óseos» entre las dos vértebras (anteriores, posteriores o a través de la caja). Requiere un tiempo biológico. A veces no se produce, sin embargo, el resultado clínico no es malo: las facetas posteriores no sufren, el espacio no se colapsa porque la caja mantiene su altura y el «micromovimiento» apreciado en las radiografías dinámicas no produce dolor. A ese conjunto de pacientes, mal catalogados en la literatura científica, me refiero en este artículo.
Espero que te haya sido provechosa la información. Gracias por tu aportación.
me quitaron hace dos años una hernia muy voluminosa l1l2 y desde el día que sali de quirófano mejore en tema piernas, pero me apareció un dolor muy fuerte en la zona donde me colocaron interespinoso
ahora me van a retirar en interespinoso y me van a colocar injerto de hueso sin instrumentación.
podría hablarme algo sobre qué es exactamente
podría funcionar ?
Hola Jose Manuel
Sin conocer más pormenores de tu caso, interpreto que te han ofrecido retirar el interespinoso y te han propuesto una fusión no instrumentada para paliar la insuficiencia mecánica residual del nivel L1-L2.
La fusión no instrumentada asegura un porcentaje alto de fusión, aunque a fecha de hoy se usa sólo en casos muy seleccionados donde no se puede acompañar de instrumentación (que mejora ostensiblemente la probabilidad de éxito para la fusión). Desconozco los motivos (pedículos de diámetro pequeño, alergia a metales…) que han impulsado a tu cirujano a escoger esta opción en vez de una fijación transpedicular, por ejemplo, o anterolateral intersomático (OLIF, XLIF), mucho más habituales hoy en día.
Un saludo y gracias por pasarte por el blog.
Gracias por el aporte de tu blog admin, me ha ayudado con mi proyecto web de almohada de latex y volveré a
visitar más este blog cuando tome mi cafetito, mil
gracias y enhorabuena por tu blog
Hola! Yo tengo intervenidas c5c6c7 y un caso exactamente igual al que usted describe que me tiene sin moverme por los dolores desde hace 3 años. Tengo una diferencia entre espinosas en flexion-extension de varios milímetros . Más de 5 mm . C6-c7 y unos 3 mm entre c5-c6 Se ve a simple vista de lo llamativo que es ,pero me dicen que está todo bien xk no se aprecia que las prótesis se muevan a pesar de la distancia entre apófisis espinosas de vértebras artrodesadas con cajas atornilladas, además de no verse fusión de hueso y de que en un spet TAC salga que hay pseudoartrosis. Mi pregunta es : como se me pueden mover tanto las apófisis espinosas artrodesadas sin que se vea movimiento en las cajas atornilladas ?(modelo globus coalition ) muchas gracias y es de gran ayuda su bloc . Gracias a usted he podido saber lo que me ocurre y responder a quienes me operaron diciéndome que estaba todo bien . El problema es que ahora no me fío de ellos. Ahora dicen de retirarmelas y hacerme una corpectomia. Pero siguen insistiendo en que está todo bien y eso me parece aún más raro . Los electromiogramas cada vez salen peor y con afectación medular y dicen que no entienden porque . El canal medular entre c5-c6 tiene un calibre de 10 mm y en extensión se reduce a 7,8 mm por el movimiento que se aprecia claramente , pero tb me dicen que no pasa nada . El caso es que tampoco me limpiaron un osteofito que tenia en el canal medular entre c5-c6 xk decian que tenia dificil acceso. El caso es que entre con dolor en brazo izquierdo y salí con dolor en los dos brazos y ahora piernas junto con dolor de cabeza 24 horas y sensación de inestabilidad . Vamos que me han arruinado la vida y me siguen diciendo que está todo bien. A ningún especialista le he visto medir las distancias entre apofisis espinosas en felxion – extensión . Hasta que lo vi en su bloc y se lo dije a los «expertos » pero siguen diciendo que no pasa nada xk se mueva . Entre todo esto tb hay un tornillo que sobrepasa la cortical del muro posterior de la vertebra c6 y tb dicen que no pasa nada . Y todo esto sin que se aprecie ninguna fusión delante , ni detrás. Y el puente óseo no llega a cerrarse después de 3 años .
Jorge podemos hablar de tu caso, soy paciente con los mismos síntomas, un saludo
si , claro ! cuando quieras.
a mí me pasa igual, intervenida hace 3 años de C 5- C6 sin fusión y según gammagrafia osea posible infección o rechazo del material. me dicen que cambiarlo todo, tengo mucho miedo. me están haciendo pruebas alérgicas a materiales.