Paciente joven que acude por lumbalgia localizada, mecánica, refractaria a tratamiento médico de >6 meses de duración. Refiere antecedente traumático desencadenante del cuadro (precipitación gran altura). En las pruebas no se aprecia alteración de balance sagital.

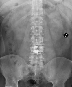
Fx unilateral platillo superior L4 derecho, sin desequilibrio coronal

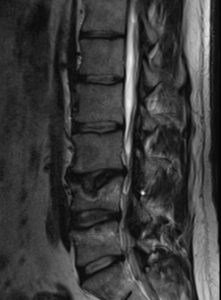
Se aprecia en RM migración de contenido discal en la esponjosa (hernia de Schmorl postraumático) que podría causar los síntomas.

Se realizó cifoplastia uniportal derecha con sedación, con mejoría significativa de los síntomas.

Obsérvese migración del cemento al espacio intersomático.




