Existen numerosas guías para el manejo postoperatorio de una artrodesis cervical. La respuesta no resulta tan sencilla, pues las RM cervicales de postoperatorio inmediato (< 3 días) además de que podrían alargar la estancia hospitalaria (por motivos coyunturales) también podrían condicionar nuestras decisiones al valorar «artefactos inflamatorios» que no ejercen ningún efecto sobre el canal y además se disipan en el tiempo.
Para ilustrar este efecto, me parece adecuado comentar un caso reciente en el que se practicó una artrodesis cervical anterior de tres niveles, con monitorización neurofisiológica intraoperatoria que no reveló ninguna incidencia, en un paciente joven que presentaba clínica de mielopatía avanzada (European Myelopathy Score 11) con radiculopatía C6-C7 crónica severa.
El paciente presentó a las 24horas un agravamiento de la paresia C7 derecha indolora, sin cambios en el puntaje (EMS) de su mielopatía, por lo que se decidió realizar una RM cervical urgente.
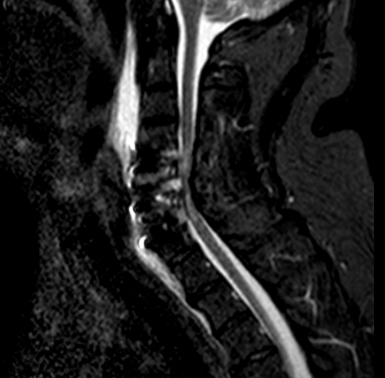
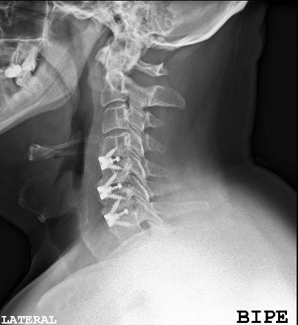
El resultado de la RM cervical planteaba dudas si era necesario o mandatorio realizar una descompresión posterior complementaria. Sin embargo, los parámetros clínicos no sugerían una compresión medular: la evolución lenta a la mejoría de su paresia, la ausencia de progresión de su mielopatía y la ausencia de dolor resultaron determinantes para que se adoptara una actitud conservadora. El paciente fue dado de alta (en plena pandemia de covid) y la evolución fue buena a pesar de que no pudo completar la rehabilitación. Se realizó nueva RM y RX cervical a los seis meses que resultó mucho más concluyente.
A los seis meses de evolución, el paciente sigue pendiente de rehabilitación, ha mejorado su inestabilidad postural y en la marcha aunque persiste la paresia C7 (agravada respecto a preoperatorio, con EMG y registros MNIO con radiculopatía crónica severa).

RM postoperatorio 
RM 6 meses
afecta de manera significativa el diámetro del canal vertebral y a la que se realizará seguimiento evolutivo.
DISCUSIÓN CLÍNICA
El presente caso ha sido aportado para valorar los cambios postquirúrgicos que pueden influir en una RM cervical en postoperatorio inmediato. Nosotros sólo consideramos realizar una RM cervical en postoperatorio inmediato para descartar una complicación postquirúrgica en el contexto de un deterioro neurológico postoperatorio. Es indudable que la RM cervical a los seis meses resulta más determinante para evaluar la efectividad de la descompresión de canal al resolverse los cambios inflamatorios/hemorrágicos. No obstante (siempre en el contexto de una evolución favorable o no progresiva de la focalidad neurológica), si se planteara completar la descompresión con un abordaje posterior ésta podría realizarse antes.









