Las fracturas de odontoides se clasificaban clásicamente, según Anderson y d’ Alonzo, en tres tipos. La más frecuente es la tipo II o fractura de la base de la odontoides. Por sus peculiaridades anatómicas, es poco propensa a consolidar con tratamiento conservador por lo que se recomienda la cirugía.
La clínica más frecuente es el dolor cervical intenso. A menudo los pacientes acuden a Urgencias «sujetándose el peso de la cabeza con las manos». No suelen presentar clínica neurológica dada la amplitud del canal vertebral en ese nivel y los potentes ligamentos implicados.
Existen dos abordajes quirúrgicos comunes para tratar la fractura de odontoides tipo II. El atornillado anterior de la odontoides (técnica de Apfelbaum) es el más anatómico y el que menos secuelas previsibles conlleva, sin embargo sólo está recomendado en una fractura aguda, con trazo favorable (oblicuo en sagital, de anterosuperior a posteroinferior), no desplazadas posteriormente y sin lesiones asociadas (la rotura del ligamento transverso es una contraindicación).

La reconstrucción sagital puede inducir a error al creer que la fractura (flecha verde) puede tratarse de manera conservadora ( tipo I) 

Sin embargo, la reconstrucción coronal del mismo paciente nos indica claramente que la fractura (flecha roja) se ubica en la base de la odontoides 
En este caso se decidió atornillado anterior (técnica de Apfelbaum) con un solo tornillo (el cuello estrecho de la odontoides nos planteó dudas para ubicar dos). El paciente mejoró en el postoperatorio inmediato, sin presentar complicaciones ni secuelas.

TC sagital control al año de la intervención. Paciente asintomático. 

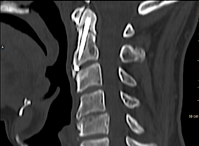
Reconstrucción coronal TC cervical 1 año. 
No obstante, las fracturas de odontoides a menudo se asocian a fracturas occipitoaxiales o con frecuencia pueden presentar un retraso diagnóstico (remodelación ósea del trazo), por lo que el abordaje posterior parece el más indicado.

Fractura de odontoides de >3 meses de evolución. Obsérvese el remodelado óseo presente típico: bordes redondeados, esclerosis… 
En estos casos, la artrodesis atloaxoidea con tornillos en pars/pedículo C2 y masas laterales (técnica de Göel-Harms) es la más indicada y la preferida por mí. La fijación posterior de C1-C2 exige integridad de la articulación occipito-atloidea (no la uso si veo subluxaciones), del atlas y de pars/pedículos de C2. A diferencia del atornillado anterior de la odontoides, la fijación C1-C2 provoca como secuela previsible la limitación severa de la rotación cervical y la disminución del ángulo flexo- extensor cervical.

El tornillo que se fija en masa de C1 posee un segmento roscado y otro liso (flecha verde). En el foramen C1-C2 se encuentra la raíz C2 (flecha azul). 

El tornillo que se ancla en la pars pasa cerca del canal de la arteria vertebral (flecha roja) 
La artrodesis occipito-cervical se indica en casos con configuración anatómica vascular no favorable en C2 para fijación posterior, lesiones extensas en segmentos O-C1-C2 o fracturas conminutas. Produce como secuela previsible la inmovilización cervical prácticamente completa en rotación y fleco/extensión, por lo que el paciente requiere de un entrenamiento postoperatorio para subir/bajar escaleras. Es importante fijar la mirada al frente para no alterar el balance sagital (si mira hacia arriba flexionará la cintura pélvica para compensar y si se fija hacia abajo, provocará un sobreesfuerzo de la musculatura pelviana en la extensión).
Otras técnicas de fijación C1-C2:
- Técnica de Galli (alambrado de arcos posteriores con injerto óseo autólogo de cresta iliaca).
 - Técnica de fijación transarticular posterior de Magerl.
 - Técnica de fijación transarticular retrofaríngea anterior
 









