Paciente de 34 años con lumbalgia mecánica refractaria de años de evolución con progresión de la clínica.
Obsérvese el incremento de la lisis de la pars en las RX dinámicas. La paciente no presentaba clínica radicular significativa por lo que se optó por ALIF L5-L6. El disco L4-L5 presentaba un grado bajo de degeneración.
Tras la intervención, la paciente fue dada de alta sin complicaciones, con corsé y reposo relativo para valorar fijación percutánea en diferido.

Tras retirada de faja, la paciente seguía presentando lumbalgia mecánica. Obsérvese la lisie de la pars. 
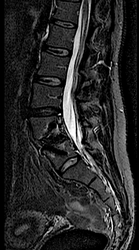
En la RM lumbar de control se apreciaba edema en L5-L6 que se interpretó como secundario a sobrecarga mecánica a dicho nivel. Se decidió una fijación percutánea (MIS) L5-L6.
Tras la fijación percutánea, la paciente seguía presentando lumbalgia mecánica (de menor intensidad). Tras agotar opciones de tratamiento conservador, atribuimos como causa la discopatía incipiente L4-L5 (que había progresado).
Se intervino mediante un abordaje abierto (me parece muy a tener en cuenta que, las reintervenciones de los niveles adyacentes en cirugías percutáneas (MIS) deben realizarse en abierto para conectar el sistema!!) sin complicaciones, con buen resultado radiológico y clínico inicial. La paciente fue remitida a Rehabilitación.

RX 6 meses 
Rx 6 meses 
Puede interesarle también:



















