Paciente de 52 años que refiere lumbalgia inespecífica con irradiación ocasional en muslo (justo arriba de la rodilla) derecha. Sin focalidad.

Imagen con gadolinio, distribución homogénea, bordes definidos; la resolución ósea no significa malignidad en estos tumores; la ocupación de canal >50% tampoco significa que sean intradurales subaracnoideos

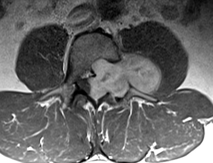
Craneal es izquierda; medial es inferior.
Abordaje longitudinal con esqueletización L2-L4 derecha; disección del componente extracanal del tumor; se aprecia relación con apófisis transversa L3 derecha

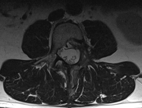
Tras exéresis de la apófisis transversa L3

En esta imagen, medial es superior
Prefiero resecar de fuera a adentro; en la imagen se aprecia detalle de la raíz tras artrectomía parcial que marca límite medial del tumor, (por lo que se evita exponer más contenido intradural del canal y, en la mayoría de casos, sin salida de LCR).
Tras exéresis tumor procedemos a revisar muñón proximal; en caso de no apreciar morfología radicular o seguir el tumor un crecimiento hacia el espacio subaracnoideo, completaría exéresis hueso (para y lamina/s) y apertura dural.
Control postoperatorio sin signos de tumor ni inestabilidad secundaria (se respetó >50% pars). El paciente presentó como secuelas (bien toleradas) una paresia transitoria flexión cadera, anestesia L3 y una disestesia en L3 derecha que apareció a las pocas semanas, mejoró con neuromoduladores y desapareció antes de los 6 meses.










dr estimado soy de Uruguay y tengo un compañero de trabajo de 53 años le mandaron a ser una resonancia magnética de columna a raíz de dolores por desgastes en vértebras y artrosis en esa resonancia descubrieron un Shuamma de 8 mm en l3 tiene todo para operarse solo le pregunto si es canceroso y si la secuelas de un Shuamma intradural en L3 son peligrosas gracias por escucharme y le pido por favor me de una guía
Hola Enrique
Imagino que se trata de un diagnóstico radiológico. Dada la ubicación que refieres («intradural»), deduzco que se ubica en el canal vertebral. El tamaño no es grande por lo que la clínica puede ser anodina.
-El motivo de la cirugía en su caso es confirmar la sospecha diagnóstica (schwannoma) con el análisis anatomopatológico y resecar completamente la lesión.
-La cirugía se hace con monitorización neurofisiológica que nos indica, si el tumor proviene de una radicela, si está es sensitiva o motora, y qué raíz motora puede verse afectada.
-En el caso de los ependimomas (uno de los diagnósticos posibles si no es un schwannoma) el tumor se origina en el filumm terminale, que debe extirparse con margen de seguridad junto al tumor. Si el tumor no se ancla a ninguna radicela nerviosa ni filum sino a la duramadre se tratará como opción más probable de un meningioma. El «déficit neurológico previsible» sólo se dará en el schwannoma y la mayor parte de las veces es sensitivo.
-El cirujano debe tomar decisiones una vez diseca el tumor respecto a si incluye o no las radicelas implicadas para intentar una exéresis completa o si decide respetarlas, manteniendo al máximo su integridad en el caso de que sea viable, ya que al dejar el lecho del origen del tumor pueden existir recidivas en el futuro (siendo la cirugía de revisión más compleja) o dolores neuropáticos por daño en el nervio originario. Es importante que el paciente participe en estas decisiones mostrando sus preferencias para que el cirujano sepa de antemano cómo actuar.
Gracias por visitar la web y espero que la información haya sido útil.
gracias dr por haberme respondido ahun no tiene fecha de operación pero está la resonancia y demás estudios realizados para cirujía con anestesia general.Le agradezco su atención y la información brindada cuando lo hayan operado también le mandaré como salió y si es posible mandare fotos de la resonancia gracias
estimado dr si recuerda hace unos meses le envié correo electrónico explicándole sobre un swamomma en L 3 intramedular de un compañero de trabajo después de meses esperando por el microscopio ya que no estaba disponible por rotura al fin pudo ser intervenido exitosamente y le extirparon ese neurinoma totalmente. Era de unos 8mm y fue enviado a análisis patológico. Era mi obligación contestarle ya que usted me explico detalladamente lo que probablemente le realizarán de mi parte muchas gracias por explicar y tomarse parte de su tiempo muchas gracias
Enrique, cordial saludo. cómo fue la re recuperación de tu amigo rápida y total? Tengo que realizarme ese procedimiento y me pone mucho a pensar si la recuperación es total y rápida. En mi caso es un Neurinoma de 21 mm abajo de L1.