Paciente con clínica de mielopatía cervical de años de evolución, enmascarada por una PNP severa que era tratada con inmunoterapia (cuando ésta no fue efectiva, se realizó RM).

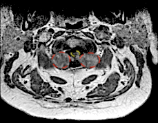
Corte axial C2 
Imagen especular: en la derecha se ha marcado en rojo los schwannomas y en amarillo la médula. Se aprecian las raíces C2 engrosadas.

RM postoperatoria: sólo se extirparon los schwannomas C2 que causaban clínica compresiva

Corte axial en C2 postoperatorio





