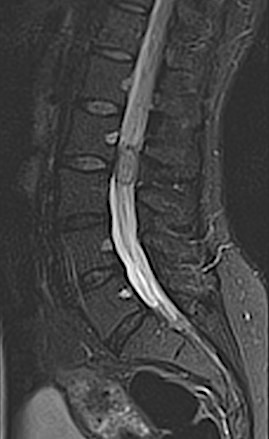
Paciente de 46 años con historial oncológico de cáncer de mama en remisión completa que presenta LOE en cauda equina tras realizar RM por parestesias en MMII.

En informe de RM fue diagnosticado como lesión sugestiva de schwannoma, ependimoma o (menos probable) meningioma. La paciente fue intervenida con monitorización neurofisiológica intraoperatoria y la lesión carecía de cápsula e «infiltraba» las raíces, por lo que se realizó una exéresis incompleta con caída parcial de potenciales que recuperó en pocas semanas. La AP demostró la malignidad del cuadro.

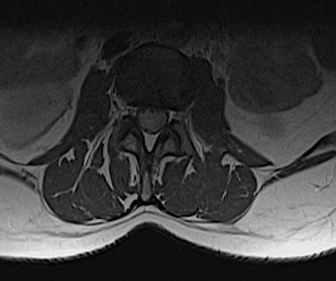
En los cortes axiales se aprecia la lesión ocupando casi todo el volumen tecal, con desplazamiento de raíces a anterior y lateral. Obsérvese el aspecto festoneado de la masa, poco habitual en tumores capsulados


