Paciente que presenta dolor braquial izquierdo moderado, territorio C6, predominio nocturno, de >6 meses de evolución. Según su origen en relación a la raíz y su tamaño, puede clasificarse en distintos subtipos.
Siguiendo a Sun, I. y Pamir. N, los que poseen un volumen <2cm se clasifican en grupo A; grupo B de 2-4 cm y grupo C >4cm.
El origen respecto a la raíz los clasifica a su vez en 4 subtipos. El tipo I es exclusivamente intradural; el tipo II puede tener un origen en espacio subaracnoideo, pero se extiende intracanal en dirección hacia el foramen; el tipo III tiene forma de reloj de arena con extensión extracanal a través del foramen; y el tipo IV se localiza completamente fuera del canal en la región extraforaminal.
Esta clasificación tiene, en mi opinión, utilidad terapéutica pues el tipo I obliga a abrir duramadre para completar resección; el tipo II obliga a explorar la aracnoides desde la raíz; el tipo III a descubrir el foramen (retirar la faceta) y en el tipo IV no es necesario acceder al canal, localizando el origen del tumor desde el foramen.

Obtenido del artículo: «Non-syndromic spinal schwannomas: a novel classification» Ibrahim Sun* and M. Necmettin Pamir.

Imagen sagital con ocupación de foramen.

Tumoración en espacio extracanal y extraforaminal, que capta gadolinio de manera homogénea y que se encuentra adherida a arteria vertebral izquierda.

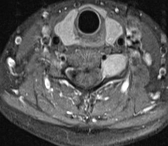
RM axial en T2. Se aprecia schwannoma Tumor tipo IV, según clasificación. Se accedió extracanal, con apertura dural y exéresis intracapsular del tumor con control neurofisiológico.

Imagen postoperatoria, sin clara captación nodular de gadolinio.





