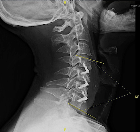
En mi opinión, las cajas intersomáticas atornilladas (CISA) son la mejor opción para corregir la cifosis cervical anterior, especialmente en patología multinivel. Además, a diferencia de «Cage Stand Alone» o caja cervical + placa; la lordosis conseguida se mantiene mejor en el tiempo.
En la técnica quirúrgica es clave asegurar una descompresión adecuada y respetar al máximo la anatomía de los platillos cervicales lo que, en algunos casos de espondilosis avanzada, es laborioso.
Aquí presento dos ejemplos.




