Paciente de 63 años con clínica de claudicación de la marcha.


Se han marcado los ligamentos interlaminares
El paciente está asintomático en decúbito y la RM se obtiene en decúbito. La fisiopatología de la claudicación neurógena de la marcha es mecánica: de pie o andando la carga de los discos se incrementa, además, la posición erguida provoca frecuentemente que se incremente la lordosis respecto al decúbito por lo que los ligamentos («amarillos» o interlaminares e interespinosos) protruyen en el canal. La descompresión interlaminar no modifica la distribución de cargas, pero al eliminar las partes blandas que protruyen se mejora la compresión y la claudicación neurógena de la marcha.

Las flechas rojas indican los niveles intervenidos. Obsérvese, comparando con niveles no intervenidos (flecha azul), la ausencia de ligamentos en espacio interespinoso e interlaminar

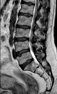
Preoperatorio 
Postoperatorio
Los cambios postoperatorios son muy sutiles en la RM. Quizá en una RM dinámica (en bipedestación y extensión) pudieran apreciarse mejor.
En esta técnica hay que respetar la anatomía para no provocar una inestabilidad secundaria.
Puede interesarle también:









