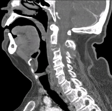
Paciente de 71 años que presenta enfermedad oncológica en estadio paliativo por tumor renal de años de evolución. Presentó fractura patológica C3 con clínica de tetraparesia súbita e incapacidad para mantener bipedestación (ASIA C). En comité de Neuroncología se acordó tratamiento quirúrgico paliativo.
Se realizó una descompresión posterior del arco de C3 asociando una artrodesis occipitocervical. La afectación del pedículo/pars de C2 por el tumor recomendaba obviar esa vértebra en la reconstrucción.

Obsérvese afectación pedículo/pars C2 por el tumor 
La resonancia postoperatoria demostró una adecuada descompresión. El paciente fue derivado para tto oncológico de rescate. La evolución postoperatoria fue favorable desde el punto de vista neurológico, con recuperación progresiva de la focalidad hasta autonomía completa.

RM 6 meses postor


Control 1 año







