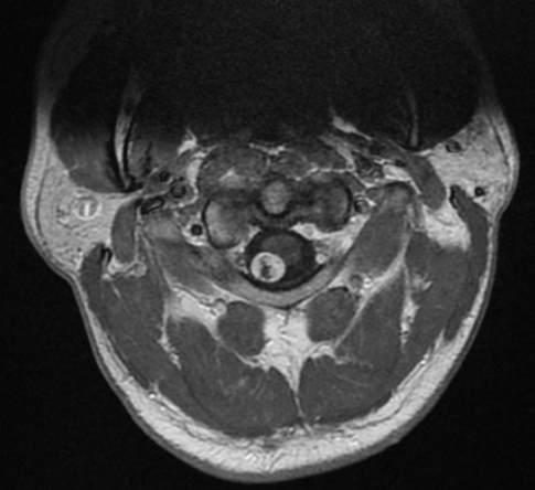
Paciente 34 años que presenta cervicalgia con irradiación a hombro derecho de meses de evolución. En RM cervical se aprecia lesión intradural extramedular informada como schwannoma (menos probable meningioma) a la altura del arco de C1.

Obsérvese la lesión captante, con más tendencia a deformar la médula que a desplazarla (comportamiento que recuerda una lesión intrínseca exofítica)
Se realizó un abordaje posterior, con hemilaminectomía derecha de atlas y exéresis de la lesión que parecía adherida al cordón medular a simple vista pero que, tras disección microscópica, pudo identificarse su origen en el segmento más proximal de una radicela del espinal derecho. Tras la exéresis completa, no se constató ningún déficit motor significativo durante la monitorización neurofisiológica intraoperatoria (MNIO) ni en postoperatorio inmediato.

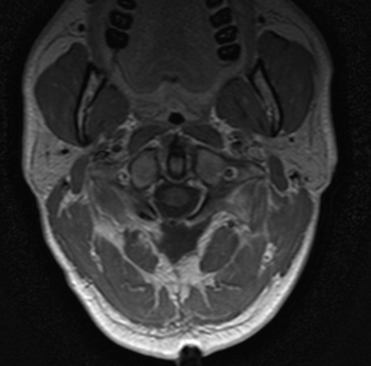
Control postoperatorio inmediato. Corte axial con gadolinio a la altura del atlas.
También puede interesarle:




