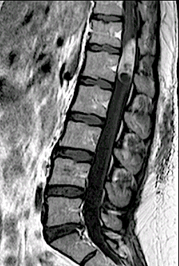
Paciente 73 años con lumbalgia inespecífica asociada a disestesias ocasionales en L3 derecha.
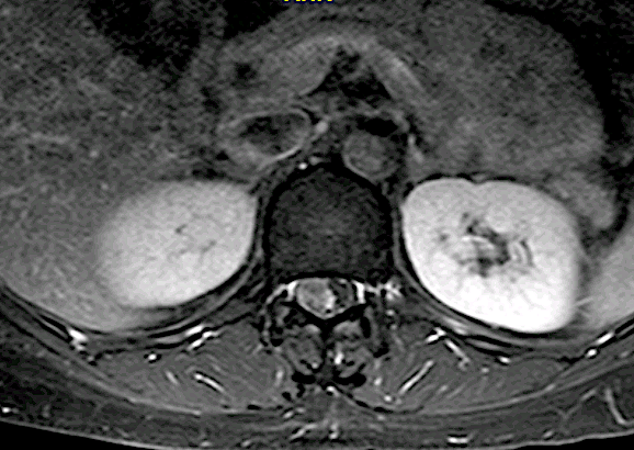
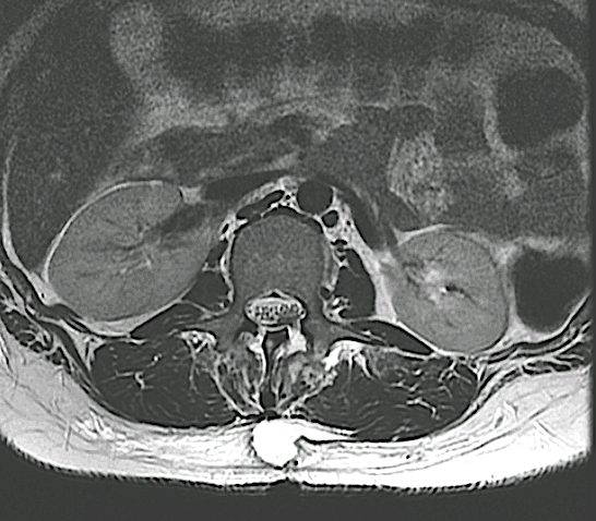
En este caso, a diferencia del caso «Schwannoma lumbar (L3, “raíz no elocuente” ), se optó por un abordaje longitudinal medial con laminotomía + laminoplastia L1 y resección parcial lámina Th12.

Control RM postoperatorio con exéresis completa. Obsérvese el trazo de la laminotomía con la integridad de grupos musculares.



