La región cervicotorácica también llamada charnela cervicotorácica no suele presentar con frecuencia patología degenerativa, sin embargo cuando ésta aparece, suele plantear dificultades quirúrgicas que el cirujano de columna no afronta con asiduidad debido sobre todo:
- a las peculiaridades anatómicas de la región: el mediastino anterior con los grandes vasos dificulta el acceso a la columna (inclusive a cirujanos torácicos y cirujanos vasculares). El abordaje clásico cervical puede requerir en los niveles más altos (Th1 y Th2) una esternotomía con osteotomía de clavícula y reconstrucción posterior. Generalmente, el cálculo del ángulo Thoracic Inlet Angle (TIA) puede predecir si será un abordaje más o menos dificultoso (para discos cervicales bajos o Th1-Th2 con TIA >60º). En estos casos, suelo informar al paciente la posibilidad de esternotomía (o completar con abordaje posterior la resección) y para el día de la intervención solicito la colaboración de un cirujano torácico. El abordaje posterior es mucho más sencillo, sin embargo plantea como principal dificultad técnica la imposibilidad de descomprimir el canal central en su sector anterior. Otro inconveniente a tener en cuenta en la elección de la vía posterior es la potencial secuela de cifosis secundaria a la resección de elementos de estabilidad posteriores (músculos, ligamentos, huesos), probable causa de dolor cervicotorácico mecánico.
- a las peculiaridades biomecánicas de la región, ya mencionadas en el párrafo anterior. La charnela cervicodorsal y dorsolumbar son zonas de transición de curvas fisiológicas (cifosis/lordosis), frágiles en lo que a traumatismos se refiere y en la pérdida de equilibrio sagital. Intentar prevenir la deformidad en cifosis secundaria en esta región es mandatorio.
- a la mala visualización radiológica intraoperatoria; lo que, sumado a pedículos estrechos (C7, Th1) con raíces muy elocuentes (C7-C8), plantea dificultades técnicas y requerimientos instrumentales específicos (TAC intraoperatorio, monitorización neurofisiológica, navegación?).
Por todas estas razones (y por la escasa frecuencia de casos) no existen protocolos específicos y cada caso es resuelto según la preferencia/experiencia del cirujano dependiendo estrechamente de los medios que disponga (no pueden intervenirse en todos los hospitales de la comunidad).
Para ilustrar el reto que supone esta región he seleccionado dos casos clínicos que pueden resultar interesantes para la discusión.
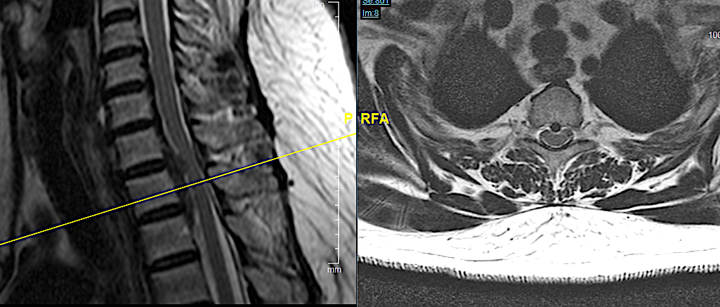
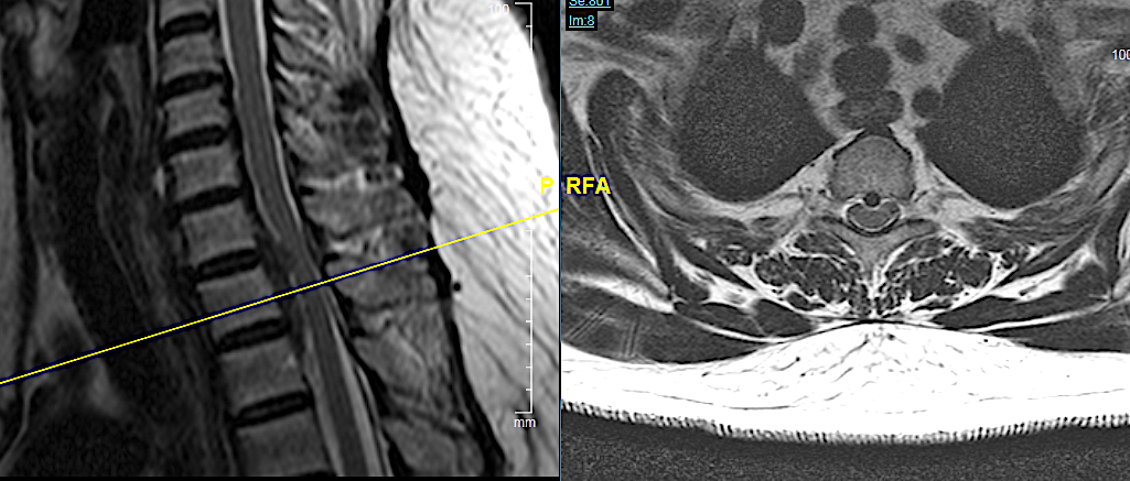
CASO CLÍNICO 1: HERNIA DISCAL TH1-TH2 MIGRADA CAUDALMENTE (con engrosamiento calcificado de LVCP hasta Th2-Th3).
Paciente de 58 años con dolor radicular refractario de >6 meses en MSD, acompañada de pérdida de fuerza en la musculatura intrínseca y atrofia muscular. EMG presenta afectación severa crónica en raíces C7-C8-Th1 derechas.

Obsérvese HDTh1-Th2 con migración caudal retrosomática (Th2)

Obsérvese el engrosamiento de LVCP de aspecto calcificado
El compromiso anterior del canal (a pesar de la radiculopatía severa en MSD) me obliga a plantearme un abordaje anterior con posibilidad de ampliar el campo a través de una esternotomía.
En las imágenes de arriba se aprecian las dificultades anatómicas del abordaje anterior.

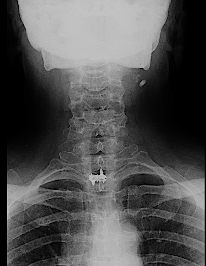
RX AP control postoperatoria.
Obsérvese, en la imagen anterior, la incisión usada en relación con la prótesis. No fue necesario realizar ninguna esternotomía (aunque el cirujano torácico estaba avisado). Para mejorar la visión sí que se resecó parte del platillo inferoanterior de Th1.
La caja atornillada no planteó tantas dificultades como la descompresión.

Control de 2 meses 
Control 2 meses

Difícilmente se aprecia la prótesis 
Copia con marcaje de los tornillos de la misma
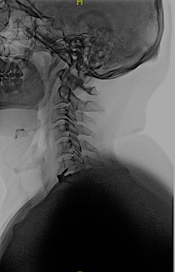
En las RX lateral de control no se aprecia bien la caja atornillada, sin embargo, la paciente mejoró la clínica álgica y mostró recuperación funcional en MSD en los controles, por lo que decidí esperar a los 6 meses para la RM cervical.

T2 6 meses 
STIR 6 meses
La evolución de la paciente fue favorable, sin presentar complicaciones torácicas ni síndrome de Horner. El objetivo de la cirugía fue descomprimir la raíz C8 en primer lugar y aliviar la clínica; en segundo lugar, lograr una descompresión de canal para evitar la aparición de mielopatía. Para retirar el engrosamiento de LVCP (que considero que no ejercía una compresión medular significativa, hubiese sido necesario un abordaje más agresivo (esternotomía + corpectomía Th2) que hubiesen incrementado los riesgos de complicaciones.
En caso de que ese engrosamiento progrese y pueda dar clínica, me plantearía un abordaje posterior con artrodesis y resección de arco(s) posterior(es). De momento, la paciente sigue controles evolutivos anuales.
CASO CLÍNICO 2: HERNIA DISCAL C7-TH1 ASOCIADA A ESTENOSIS DE CANAL
Paciente de 46 años que consulta por clínica de mielopatía cervical de evolución progresiva en los últimos dos meses. Tuvo una braquialgia derecha 4 meses antes que mejoró con tratamiento conservador.
Este caso me parece interesante porque hubiese podido ser tratado por vía posterior al ser una hernia lateral, sin embargo, no se trataba de una afectación segmentaria aislada sino que en la misma RM podía apreciarse estenosis de canal en C6-C7 con compresión medular a dicho nivel. No hay que olvidar que el motivo de la consulta fue la instauración de una mielopatía cervical progresiva (inestabilidad, urgencia miccional e hiperreflexia) pues la braquialgia derecha estaba en proceso de remisión.
Por las razones expuestas, a pesar de un thoracic inlet angle bastante alto, opté por realizar un abordaje anterior con descompresión + artrodesis IS con cajas atornilladas C7-Th1.
La evolución clínica fue favorable. En la RX control lateral apenas podemos visualizar la caja inferior sin embargo, por la ausencia de dolor, por la falta de edema en STIR en cuerpos vertebrales C7-Th1 y por la resolución de la clínica neurológica no considero imprescindible por ahora, someter al paciente a un TC cervical (gran radiación en paciente joven).
En resumen:
- La baja incidencia de esta patología condiciona que no existan protocolos específicos.
- El abordaje anterior (con previsión de realizar una esternotomía si el thoracic inlet angle es alto), en casos seleccionados, puede resolver con éxito el tratamiento de la patología degenerativa en la charnela cervicotorácica. sin olvidar las peculiaridades anatómicas y biomecánicas de la misma.
- Tanto la vía posterior como la anterior presentan una alta complejidad por las características anatómicas y biomecánicas mencionadas, por lo que exigen cierta experiencia en el establecimiento de la indicación quirúrgica y en el manejo técnico para tratar de resolver el problema en la primera cirugía.
.

























