La fijación transfacetaria lumbar consiste en fijar dos vértebras mediante un tornillo que atraviesa la faceta superior y la inferior tras preparar la superficie articular. Los tornillos suelen emplearse bilateralmente y, aunque presentan buen aval biomecánico respecto a otros sistemas de instrumentación clásicos, se pueden asociar a una fusión anterior si se combinan con un injerto intersomático.
Do facet screws provide the required stability in lumbar fixation? A biomechanical comparison of the Boucher technique and pedicular fixation in primary and circumferential fusions. Amit Agarwala , Brandon Bucklen, Aditya Muzumdar, Mark Moldavsky, Saif Khalil
Biomechanical comparison of a novel percutaneous transfacet device and a traditional posterior system for single level fusion. Andrew Mahar 1 , Choll Kim, Richard Oka, Tim Odell, Andrew Perry, Srdjan Mirkovic, Steve Garfin
Ventajas e inconvenientes
La ventaja fundamental de esta técnica es que requiere un campo quirúrgico menor (por ejemplo, el mismo campo requerido para una discectomía) para preparar las facetas. Aunque la dirección requiera un ángulo diferente, pueden colocarse percutáneos mínimamente invasivos. Otra de las ventajas radica en la sencillez de su retirada en caso de fracaso manteniendo la posibilidad intacta de colocar tornillos transpediculares en un territorio prácticamente virgen. Sin embargo, la orientación, tamaño e integridad de las facetas así como la ausencia de subluxación limita, en mi opinión, un uso más generalizado de esta técnica convirtiéndose en uno de sus principales inconvenientes.
Indicaciones posibles
Bajo mi punto de vista amplían el abanico de posibilidades para tratamiento mínimamente invasivo de la patología con microcirugía lumbar. Tanto la Discectomía lumbar como la Descompresión interlaminar pueden combinarse con esta técnica (complementándose, si se considera necesario, con un injerto anterior intersomático) empleando una incisión cutánea y daño muscular mínimo. La descompresión radicular del receso lateral con microcirugía lumbar (foraminotomía) también puede fijarse con un tornillo transfacetario ipsilateral si somos cuidadosos con la faceta y su integridad final lo permite, evitando de este modo una inestabilidad secundaria que podría provocar la reaparición de la clínica. También puede tener su utilidad como complemento del TLIF MIS en el lado contralateral a la artrectomía.
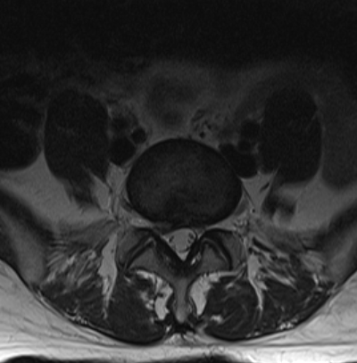
Caso clínico
La paciente fue intervenida con un abordaje posterior medial (incisión de 3-4 cm) y con técnica microquirúrgica se realizó una discectomía L5-S1 derecha, preparación de disco y colocación de prótesis intersomática de titanio asociada a fijación transfacetaria. Obsérvese en la imagen anterior la adecuada alineación de facetas así como una adecuada amplitud de las mismas para realizar una fijación transfacetaria bilateral. En el caso que hubiésemos tenido que quitar mucha faceta ipsilateral o esta se hubiese fracturado, habríamos completado la fusión con dos tornillos transpediculares.







