Paciente 52 años, remitido desde UDO para valoración de cervicalgia refractaria, de evolución progresiva en los últimos años, acompañada de radiculopatía C7-C8 izquierda.
Como AP de interés refiere cirugía previa «cage stand alone» (CSA) en otro centro en 1995, con mejoría durante los primeros años. No aporta informes ni imágenes pre/postoperatorias.


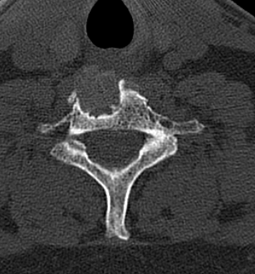
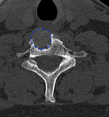
Obsérvese la ubicación de la prótesis

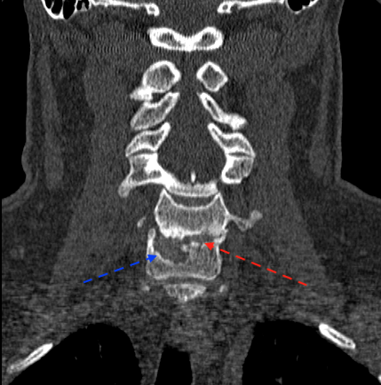
La flecha azul indica el hundimiento/resorción del platillo C7 en lado derecho, (la prótesis se ubicó muy lateral); el lado izquierdo (flecha roja) parece íntegro.

En TC sagital se aprecia ausencia de fusión y ubicación de la caja en mitad anterior (incluso con extensión parcial)

RM sagital T2. 
La flecha azul marca el espacio que ocupa la prótesis, la flecha roja la estenosis foraminal


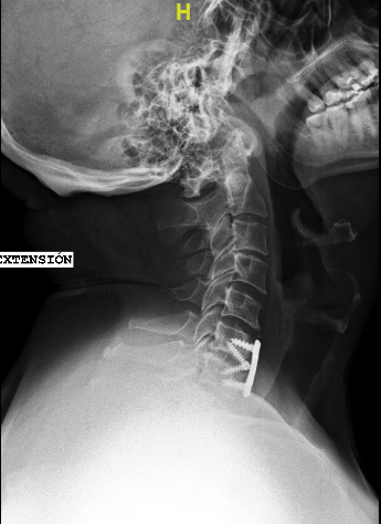
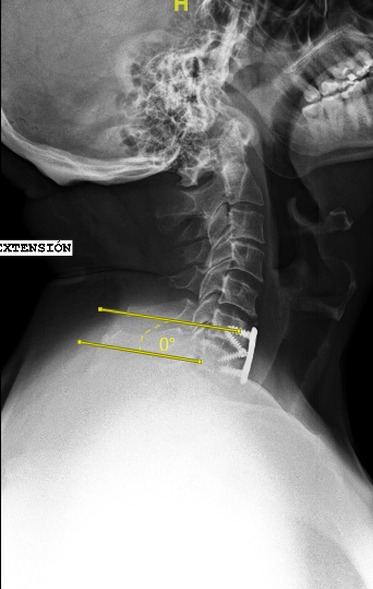
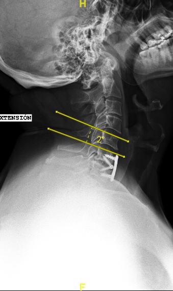
Las RX dinámicas reflejan la ausencia de fusión C6-C7
Se intervino retirando la prótesis de carbono (no se aprecian marcas de tantalio, aunque parecía de fibras de carbono), completando la descompresión del lado izquierdo para aliviar la clínica y realizar una reartrodesis anterior con caja atornillada lateralizada a la izquierda + placa cervical.

RM postoperatoria 1 año 

Obsérvese la altura del espacio C6-C7 incrementada con la caja atornillada 
Las RX dinámicas (6m postop) demuestran estabilidad de la artrodesis
El paciente, tras la cirugía, mejoró la cervicalgia y la braquialgia izquierda. En último control refería crisis de cervicalgia alta intensas de varios días de evolución.
El nivel C5-C6, más exigido al fijar C6-C7, parece inestable. El nivel C4-C5 presenta también una discopatía cervical. A nivel C3-C4, presentaba una estenosis de canal que no había variado en el control postoperatorio. Sin embargo, se decidió seguimiento evolutivo por ahora.

Rx AP donde se aprecia la placa y la caja lateralizada a la izquierda



















