Mujer de 50 años con clínica de mielopatía de meses de evolución y evolución progresiva. European Myelopathy Score -EMS- (Neurona Motora Superior 2/5; esfínter 2/3; Neurona Motora Inferior 2/4; Columna Posterior 1/3; dolor 2/3) total 9/18.

Obsérvese la ocupación de canal >50%, sobre todo en la mitad derecha 
STIR sagital
Las tres opciones quirúrgicas para resolver el caso que me planteé fueron: abordaje anterior con corpectomía C7 (que plantea una dificultad técnica y biomecánica en la reconstrucción); abordaje anterior con microdiscectomía C6-C7 (aunque al existir migración caudal en ese nivel, que frecuentemente plantea dificultades técnicas en la visualización del platillo posterior C7, tenía la duda de si podría realizar una descompresión efectiva) y abordaje posterior con descompresión interlaminar.

RM cervical 6 meses postoperatoria
Finalmente optamos por un abordaje anterior con descompresión intersomática con microscopio quirúrgico y resección del 1/3 posterior del platillo superior C7 (los cálculos preveían una vértebra de longitud AP suficiente para mejorar la visibilidad con esta maniobra y un thoracic inlet angle favorable -no demasiado alto- para la descompresión). Obsérvese la ubicación de la caja atornillada en la mitad anterior de la vértebra. También se descomprimió y artrodesó el nivel C5-C6.

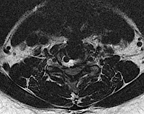
Sección axial C6-C7. Obsérvese el área hiperintensa en T2 que se corresponde con la resección de platillo posterior C7. La caja se lateralizó ligeramente a la izquierda.
También puede interesarle:
–Cajas intersomáticas cervicales atornilladas
–Descompresión cervical anterior + artrodesis IS (caja atornillada)
–Hernia discal cervical C4-C5 con mielopatía
–Mielopatía cervical asociada a estenosis C2-C3 y C4-C5. Cajas atornilladas.






