Paciente de 48 años remitida con clínica de mielopatía cervical de meses de evolución e instauración progresiva.
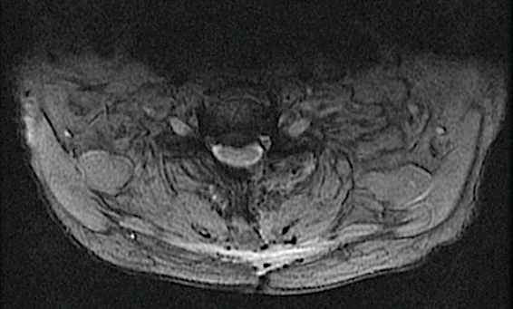
La lesión se ubicaba en el margen anterior de la lámina sin aparente afectación ósea en la RM cervical.

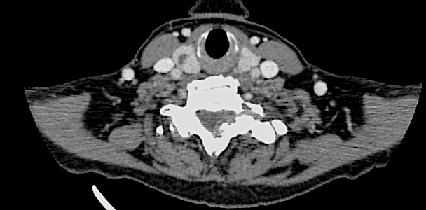
Se solicitó un TC observando signos de espondilosis avanzada C5-C6-C7 y ausencia de infiltración ósea.

En la imagen coronal se aprecia relación íntima de la lesión con la faceta C7-Th1 que nos hizo sospechar el diagnóstic
Se decidió abordaje posterior, para descompresión y biopsia. El resultado de la AP fue compatible con material degenerativo. La visión quirúrgica confirmó las sospechas de quiste sinovial.

RM postoperatoria 
La paciente recuperó su clínica mielopática (inestabilidad de la marcha, sin afectación en MMSS ni dolor) en pocos meses.
A los dos años consultó nuevamente por presentar clínica de dolor cervical irradiado a MMSS. Tras descartar recidiva, se decidió intervenir la estenosis de canal vía anterior.

Rx 6 meses 

Rm 6 meses 
Corte axial C7-Th1
Los quistes facetarios o yuxtafacetarios que causan compromiso de canal son habituales en facetas lumbares pero apenas hay casos descritos en la literatura a nivel cervical y dorsal. Con frecuencia se asocian a otros signos degenerativos de esponsilosis avanzada.
Puede interesarle también:
-Quistes facetarios o quistes yuxtafacetarios












